• Multi-modality image registration

    Quick and easy to use rigid and deformable registration tools for CT, CBCT, MRI, PET, SPECT, AND RT images.

  • Share data easily

    Sync with ARIA OIS and Eclipse treatment planning with one click.

  • Map and model dose changes over time

    Track patient dose information from different vendors at different times to sum total dose across tumors and healthy tissue.

  • Comprehensive contouring tools

    Automatic and semi-automatic contouring tools.

  • Simplified RT plan review

    Review and evaluate treatment plans for all treatment modalities.

  • Robust QA and developer tools

    Tools for dosimetry QA, data analytics, and imaging research extend the capabilities of your care teams.

  • RapidSphere

    RapidSphere Image-Guided Dosimetry for Y90 Selective Internal Radiation Therapy (SIRT) is an add-on for Velocity that provides tools for liver and tumor segmentation, and post-procedure dose confirmation for Y90 radioembolization.

See the big picture

Velocity takes patient imaging data from nearly any source to give you a comprehensive view of your patients’ past and current states.

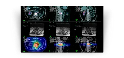
True multimodality image fusion

Velocity combines multimodal imaging from different sources, at different time points, and in different positions to help clinicians make decisions with confidence.

Efficient workflow

Contour in real time and review structures quickly. Share, review, and collaborate easily.

We'll help you get connected

Our specialists can help you integrate Varian into your workflow.

If you are a current customer and need product support, please visit our Customer Support page

Velocity is 510(k) cleared in the United States. Not available for sale in all markets.