AI-powered auto contouring for Eclipse and Velocity

  • Deep learning-trained OAR contouring for improved contour consistency
  • Efficient clinical workflow with AI segmentation​
  • Seamless integration into treatment planning workflow
  • Multi-site, multi-vendor scalability with cloud deployment
  • Available for head & neck, thorax (lung/breast), abdomen, and pelvis
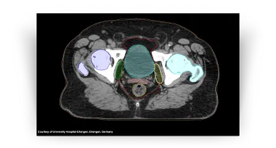
AI-Rad Companion Organs RT © IOP Publishing. First published by Physics World. Reused with permission. Watch Video

Efficient workflow​​1

“The use of AI-Rad Companion Organs RT makes our life easier. Especially the contouring of organs in the upper abdomen, leads to a noteworthy reduction of turnaround time.”1

Dr. Alexandros Papachristofilou University hospital Basel, Switzerland
AI-Rad Companion Organs RT Learn more about the benefits of AI-Rad Companion Organs RT in clinical usage from Dr. Firas Mourtada[2] Watch Video

Consistency

“The standardized algorithms are constantly improving and deliver the same precision as an experienced radiation therapy expert – always returning consistent results. Manual contouring can vary from user to user, which affects treatment. This is not the case with the software.”2

Dr. Manuel Algara López MD, Hospital del Mar, Barcelona, Spain
AI-Rad Companion Organs RT Learn more about the benefits of AI-Rad Companion Organs RT in clinical usage from Dr. Firas Mourtada[2] Watch Video

Efficient workflow[​1]

Save time through automated OAR contouring and to free up resources for other clinical tasks.

Consistency

Achieve consistent high quality OAR contours using state-of-the-art AI algorithms.

Accessibility

Secure multi-site, multi-vendor scalability with cloud deployment.

We'll help you get connected

Our specialists can help you integrate Varian into your workflow.

If you are a current customer and need product support, please visit our Customer Support page.

The term autocontouring in this context means automated contouring of organs-at-risk structures. The products/features (mentioned herein) are not commercially available in all countries. Their future availability cannot be guaranteed.

  1. With AI-Rad Companion Organs RT recently introduced to the market, efficiency data is not yet available.
  2. The statements by Siemens Healthineers’ customers described herein are based on results that were achieved in the customer's unique setting. Since there is no "typical" hospital and many variables exist (e.g. hospital size, case mix, level of IT adoption) there can be no guarantee that other customers will achieve the same results.
    Dr. Alexandros Papachristofilou is employed by an institution that receives financial support from Siemens Healthineers for collaborations.
    Dr. Manuel Algara López is engaged in a collaboration with Siemens Healthineers.
    Dr. Mourtada is engaged in a collaboration with Siemens Healthineers

AI-Rad Companion Organs RT is a Siemens Healthineers product and a registered trademark of Siemens Healthineers in some countries.