Radiosurgery

Skip to main content
  • MyVarian
  • Medical Affairs
  • Investors
  • For Patients
  • Careers

Cancer Care

Cancer Care

    • About
      • Executive Management
      • Company Locations
      • Our Vision
        • Enhancing the Patient Experience
        • Streamlining Clinical Workflows
        • Making Innovation Accessible
        • Enabling Personalized Care
    • Corporate Citizenship
      • Giving
    • Newsroom
      • Press Releases
    • Research
      • Clinical Research
      • Investigator-Initiated Research Program
    • Careers
    • Global Medical Education Grants
    • Government Affairs
    • Legal Information
    • Contact us
    Elevating cancer care across the entire patient journey

    Elevating cancer care across the entire patient journey

    See how a connected cancer care approach turns growing complexity into coordinated action and confident care - for patients, families, and care teams.

    Explore the approach
  • Products Overview
    • Radiosurgery

      New radiosurgical treatments powered by Varian technology are expanding the range of options available to providers and patients worldwide.

      • Treatment Planning
        • AI-Rad Companion Organs RT
      • Treatment Delivery
        • Edge
          • HyperArc
          • HyperSight
      • Interoperability
      Highlights
      AI-RAD Companion webinar

      AI-RAD Companion webinar

      Transforming Segmentation in Radiation Oncology with AI-Rad Companion

      Watch the replay
    • Radiotherapy

      Varian has spent decades pioneering advances in radiotherapy to help patients worldwide fight cancer and win.

      • Treatment Planning
        • Eclipse
        • Eclipse for Proton Therapy
        • RapidArc Dynamic
        • RapidPlan
      • Treatment Delivery
        • Halcyon
          • HyperSight
        • TrueBeam
          • HyperSight
      • Real-time Tracking and Motion Management
        • IDENTIFY
        • Respiratory Gating for Scanners
      • Quality Assurance
        • MaximQA
      • Interoperability
      Highlights
      RapidArc Dynamic

      RapidArc Dynamic

      A radical transformation in planning and delivery

      Learn more
    • Imaging for Radiotherapy

      By enabling radiation therapy specialists to look closer at the facts, our tailor-made imaging solutions help achieve prime outcomes for every single patient.

      • Computed Tomography
      • Magnetic Resonance Imaging
      • Imaging Software
      Highlights
      NAEOTOM Alpha.Prime RT Pro Edition

      NAEOTOM Alpha.Prime RT Pro Edition

      The new benchmark for CT in RT, supporting accurate contour definition and margin setting, for precise treatment planning.

      Learn more
    • Brachytherapy

      The oldest form of radiotherapy, brachytherapy is still the best option for many patients—so we make sure they're getting what they need.

      • Afterloaders & Applicators
        • BRAVOS
        • GammaMedplus iX
      • Treatment Planning
        • BrachyVision
        • VariSeed
        • Vitesse HDR
      Highlights
      Brachytherapy Webinar

      Brachytherapy Webinar

      Advancing HDR prostate Brachytherapy: Real-time precision with Vitesse

      Watch the replay
    • Adaptive Therapy

      This individualized, continuously adapting treatment accounts for changes taking place within the patient to deliver the most accurate radiation dose possible.

      • Ethos
        • HyperSight
      • Interoperability
      Highlights
      Ethos webinar

      Ethos webinar

      Ethos algorithms dive-in: How is online adaptive done behind the scenes

      Watch the replay
    • Oncology Services

      Optimize and standardize your operations and clinical workflows with our digitally enabled solutions -- leverage our subject matter experts when and how you choose.

      • Advanced Oncology Solutions
        • Clinical Services
        • Professional Services
        • AOS Careers
        • AOS Case Study
        • Therapeutic Medical Physics Residency Program
      Highlights
      AOS Case Study

      AOS Case Study

      Explore how Advanced Oncology Solutions has helped CHRISTUS Health accelerate the adoption of tech-enabled radiation-oncology services.

      Learn more
    • Interventional Oncology

      Varian and Siemens Healthineers have united to accelerate our path to further innovations in the fields of interventional radiology and interventional oncology.

      • Musculoskeletal
        • OmniBone
      • Cryoablation Solutions
        • CryoCare Touch
        • Isolis
      • Embolization Solutions
        • Embozene Microspheres
        • Embozene TANDEM Microspheres Support
        • Oncozene Microspheres
        • Sniper
      • Microwave Ablation Solutions
        • IntelliBlate
      Highlights
      IntelliBlate Microwave Ablation Solution

      IntelliBlate Microwave Ablation Solution

      Future-Focused Integrated Ecosystem. Clinician-Driven Innovation.

      Learn more
    • Software

      We offer a wide range of software solutions to help meet your clinical needs. Varian’s comprehensive oncology software provides a seamless flow of information for accurate, efficient, and timely information helping to build a solid foundation for patient safety and well-being.

      • Analytics
        • ARIA CORE Insights
      • Digital Oncology
        • ARIA CORE for Theranostics
        • Legacy Solutions
          • ARIA OIS for Medical Oncology
          • ARIA Oncology Information System
        • Oncology Management Systems
          • ARIA CORE
          • ARIA CORE Mobile
          • ARIA Systemic Therapy Management
      • Managed Services
        • FullScale Managed Services
      • Patient Engagement
        • Noona
      • Quality Assurance
        • MaximQA
      • Treatment Planning
        • Eclipse
        • Velocity
      • Interoperability
      Highlights
      Theranostics

      Theranostics

      Scaling theranostics takes more than a single technology – it takes a programmatic approach integrating hardware, software, and service.

      Learn more
    • Veterinary Oncology

      When veterinary oncologists leverage the full capabilities of Varian’s products, they can spend less time planning and more time treating patients.

      • Treatment Delivery
        • Edge
        • Halcyon
        • TrueBeam
      • Treatment Planning
        • ARIA OIS
        • Eclipse
      • Consulting Services
      Highlights
      Consulting Services

      Consulting Services

      We're committed to helping you and your veterinary hospital get the most out of our products.

      Learn more
    • Services
      • PremierAssurance
      • Installation & Implementation
    • Education & Training
      • Training Centers
      • Training Courses
      • CE Credit
      • Webinars
    • Blogs
    • Events
    • Reimbursement
    • Cybersecurity
    PremierAssurance

    PremierAssurance

    Experience ever-present confidence for ever-changing technology

    Learn More
  • MyVarian
  • Medical Affairs
  • Investors
  • For Patients
  • Careers
  • Select country or region
    Select language
  • Home
  • Products
  • Radiosurgery

Radiosurgery

New radiosurgical treatments powered by Varian technology are expanding the range of options available to providers and patients worldwide.

Treatment planning

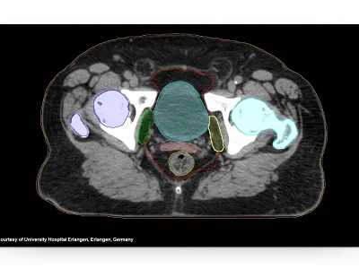
AI-Rad Companion Organs RT

Achieve consistent, high-quality OAR contours using state-of-the-art AI algorithms

Learn More
AI-Rad Companion Organs RT

HyperArc

Stereotactic radiosurgery solution

Learn More
HyperArc

Treatment delivery

Edge

High precision and integrated machine intelligence let you treat more patients with greater confidence.
Learn More

Footer

    • About
    • Corporate Citizenship
    • Newsroom
    • Research
    • Careers
    • Global Medical Education Grants
    • Government Affairs
    • Legal Information
    • Radiosurgery
    • Radiotherapy
    • Imaging for Radiotherapy
    • Brachytherapy
    • Adaptive Therapy
    • Oncology Services
    • Interventional Oncology
    • Software
    • Veterinary Oncology
    • Services
    • Education & Training
    • Blogs
    • Events
    • Reimbursement
    • Cybersecurity
    • Corporate Website
    • Healthcare Professionals
  • Careers
  • Newsroom
  • Contact us

Connect with us

  • Facebook
  • LinkedIn
  • © Varian Medical Systems, Inc. - A Siemens Healthineers Company 2026
  • •
  • Privacy Notice
  • •
  • Legal Information
  • •
  • Trademarks
  • •
  • Code of Conduct