An epic advancement in image quality, precision, and speed—right inside your treatment room.

"Larger field of view is very useful in the pelvis. We may no longer need to use extended CBCT in the pelvic area, reducing treatment time and dose to the patient."

Quote courtesy of UH Seidman Cancer Center, Cleveland.

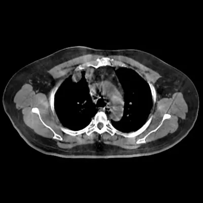
"The new HyperSight imaging solution on Halcyon offers improved image quality with CT number accuracy comparable to planning CT, which may lead to improved dose calculation accuracy. HyperSight may allow for treatment planning directly on a CBCT image in an adaptive workflow."

Taasti et al., Clinical evaluation of CT number stability of advanced cone-beam CT for thorax and pelvic patients, Maastro. ESTRO 2024.

"Patient outcomes improve when faster, clearer images guide our treatments. This technology not only potentially allows us to see the tumor better but to better target and tailor therapy to where it matters most."

—Dr. Henke, UH Seidman Cancer Center, Cleveland​ Quote courtesy of UH Seidman Cancer Center, Cleveland.

Put the power of the HyperSight imaging solution to work in your clinic today

Larger images. Better contrast. Faster CBCT imaging. With HyperSight, you can gain efficiencies, add new workflows, and expand the capabilities of your in-room imaging solution. Begin your transformation today—with the epic advancement in image quality, precision, and speed that is the HyperSight solution.

Related Products

Integrate the imaging power of the HyperSight solution with these Varian systems to provide even more treatment options for your patients.

We'll help you get connected

Our specialists can help you integrate Varian into your workflow.

If you are a current customer and need product support, please visit our Customer Support page.

HyperSight is an optional feature. Not available for sale in all markets.